Tue & Thu: 9 AM – 5 PM
Alternate Saturdays: 8 AM – 1 PM
Full-time hours coming soon.
Tue & Thu: 9 AM – 5 PM
Alternate Saturdays: 8 AM – 1 PM
Full-time hours coming soon.
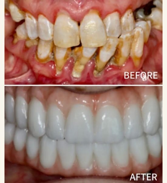
Complex restorative dentistry focuses on rebuilding teeth and smiles that require advanced treatment beyond routine dental care. Patients with extensive dental damage, multiple failing restorations, or structural bite problems often require a higher level of expertise and planning.
At NuSmile Implant Studio, complex restorative cases are treated with a prosthodontic perspective that emphasizes precision and long-term function. Dr. Faisel Ashtewi carefully evaluates how each tooth functions within the overall bite before designing restorations that restore strength while maintaining natural aesthetics.
This level of specialized care is particularly beneficial for patients who have experienced failed dental work in the past or require comprehensive restorative treatment. With thoughtful planning and advanced technology, complex restorations can rebuild oral health while creating a comfortable and confident smile.
At NuSmile Implant Studio, we specialize in complex restorative dentistry, offering a range of solutions tailored to meet the unique needs of patients facing significant dental challenges. Our experienced team is dedicated to restoring both function and aesthetics, ensuring that every patient leaves with a smile they can be proud of.
Our services include advanced dental implants, crowns, bridges, and other restorative treatments designed to address extensive dental damage. We utilize the latest technology and techniques to provide effective and durable solutions, helping patients regain their confidence and improve their quality of life.
Dr. Faisel Ashtewi is a leading expert in complex restorative dentistry, known for his meticulous approach and commitment to patient care. With years of experience and specialized training, he understands the intricacies involved in restoring damaged smiles and is dedicated to achieving optimal results.
His philosophy centers on personalized treatment plans that cater to each patient's specific needs. Dr. Ashtewi combines advanced techniques with a compassionate approach, ensuring that every patient feels comfortable and informed throughout their treatment journey.
At NuSmile Implant Studio, we prioritize patient comfort and satisfaction in every aspect of our services. Our patient-centered care philosophy ensures that each individual receives the attention and support they deserve during their dental journey.
From the initial consultation to the final restoration, our team is committed to providing a welcoming environment where patients can express their concerns and preferences. We believe that open communication is key to successful outcomes, and we strive to make every visit a positive experience.
Choosing NuSmile Implant Studio means opting for a practice that values expertise, innovation, and patient satisfaction. Our state-of-the-art facility is equipped with the latest technology, allowing us to deliver high-quality restorative treatments efficiently and effectively.
We take pride in our comprehensive approach to dental care, ensuring that all aspects of a patient's oral health are considered. Our commitment to ongoing education and training keeps our team at the forefront of dental advancements, providing our patients with the best possible care.