NuSmile Implant Studio logo featuring a tooth icon and text emphasizing dental services and oral health.

Working Hours

Tue & Thu: 9 AM – 5 PM
Alternate Saturdays: 8 AM – 1 PM
Full-time hours coming soon.

Smile showcase

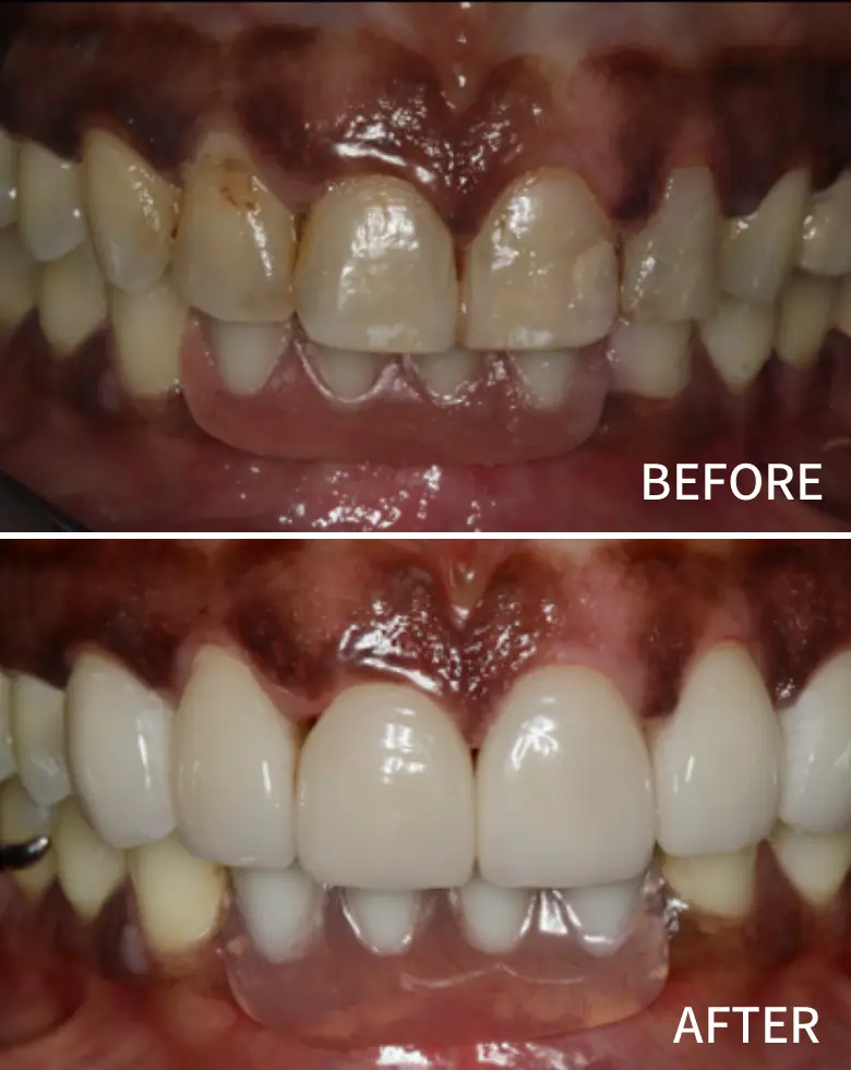
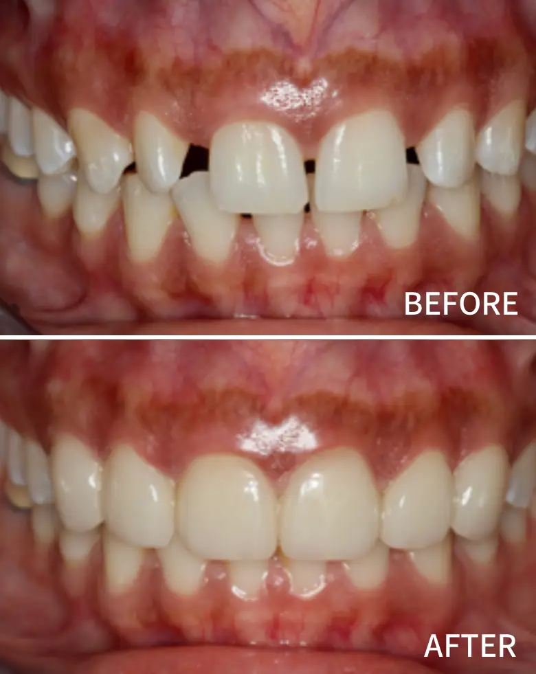
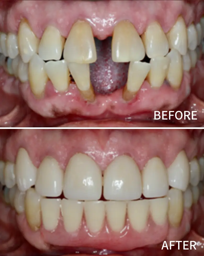
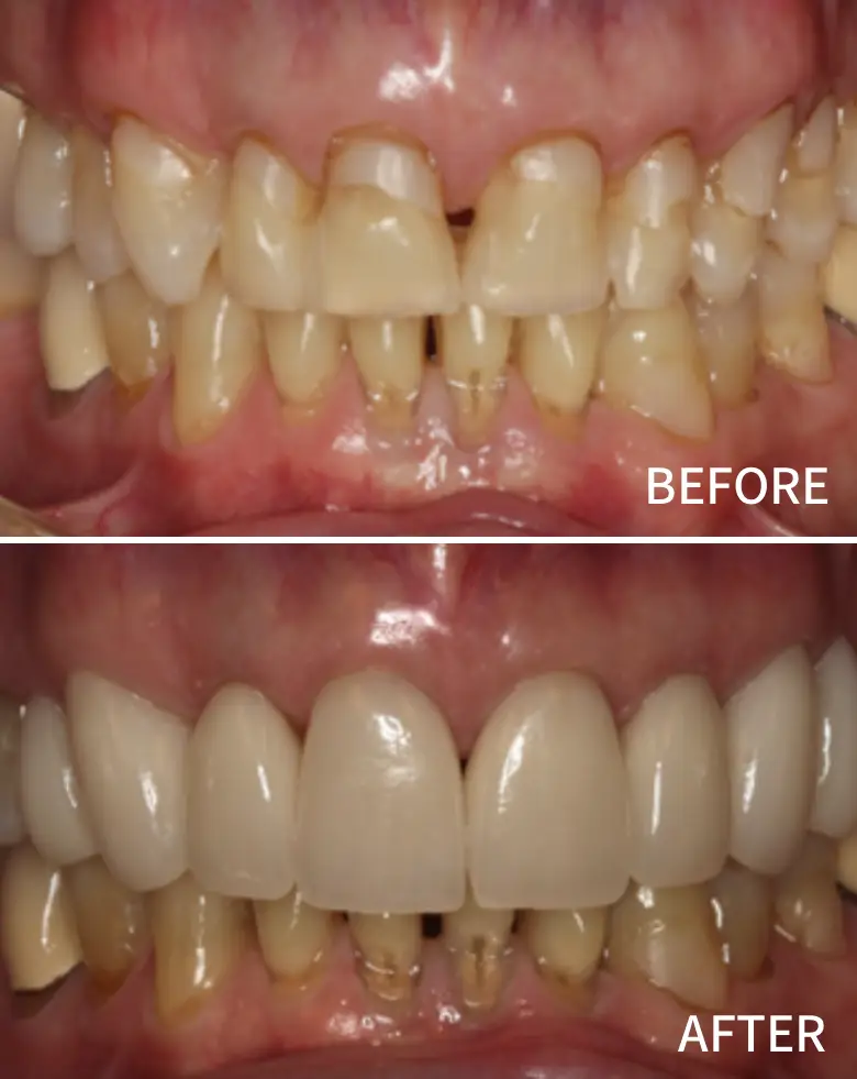
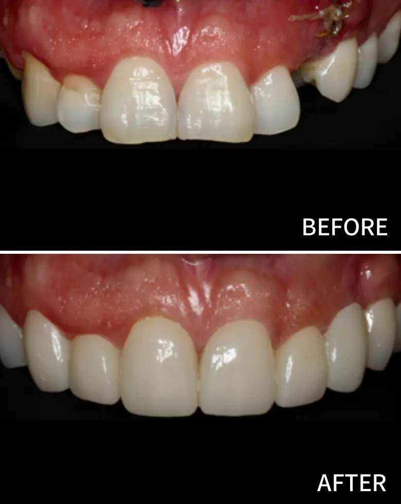
Diastema

Before-and-after image showcasing a smile transformation, highlighting diastema closure and improved dental aesthetics through cosmetic dentistry at NuSmile Implant Studio.
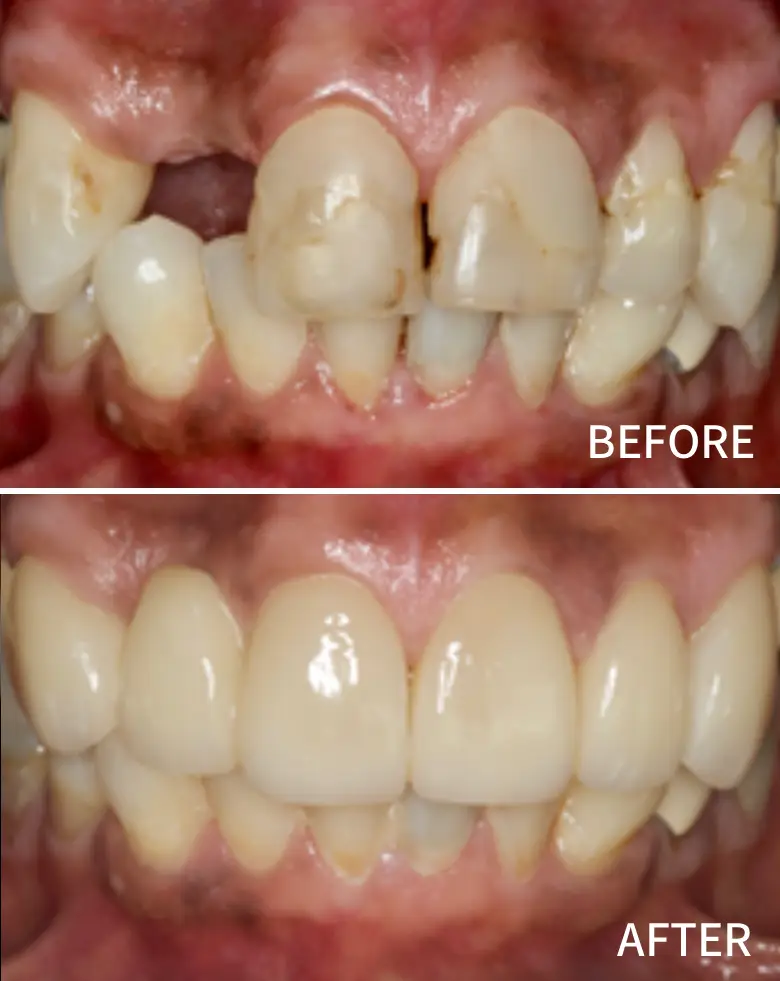
Before-and-after image of dental transformation highlighting diastema closure, anterior tooth restoration, and improved alignment, showcasing successful full mouth rehabilitation at NuSmile Implant Studio.
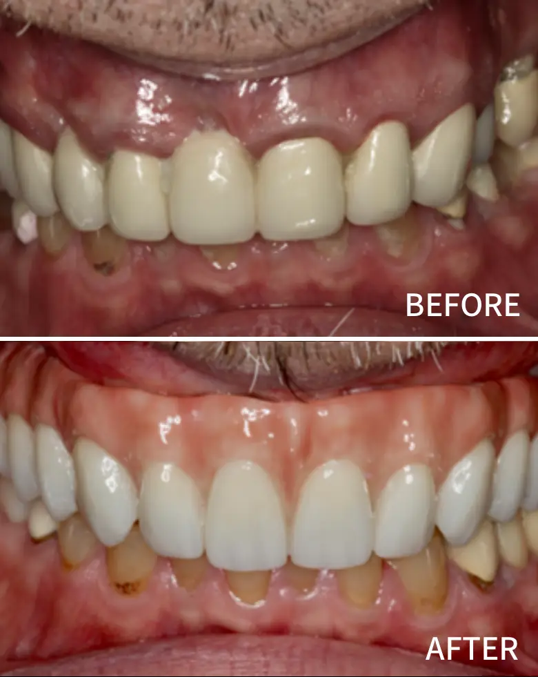
Before-and-after images of a smile transformation showcasing diastema closure and improved anterior teeth aesthetics, highlighting the effectiveness of cosmetic dentistry at NuSmile Implant Studio.
Before-and-after image of a male patient showcasing significant smile transformation, highlighting diastema closure and improved anterior tooth aesthetics after dental rehabilitation.
Before-and-after image of dental transformation showing significant improvement in smile aesthetics, addressing diastema and tooth restoration.
Before-and-after image of a dental transformation showcasing a smile makeover, highlighting diastema closure and restoration of anterior teeth for improved aesthetics.
Before-and-after image of a smile transformation showcasing correction of diastema and anterior tooth alignment, highlighting cosmetic dental restoration results.
Before-and-after dental transformation showcasing diastema correction and anterior tooth restoration, highlighting improved smile aesthetics and alignment.

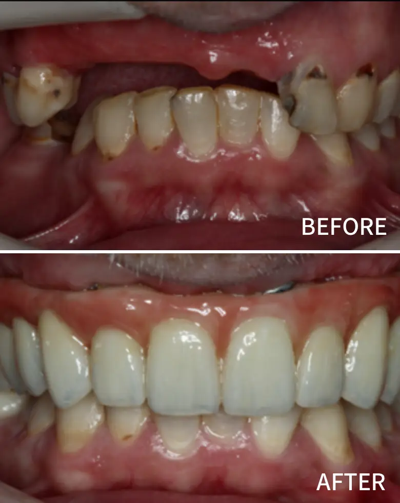
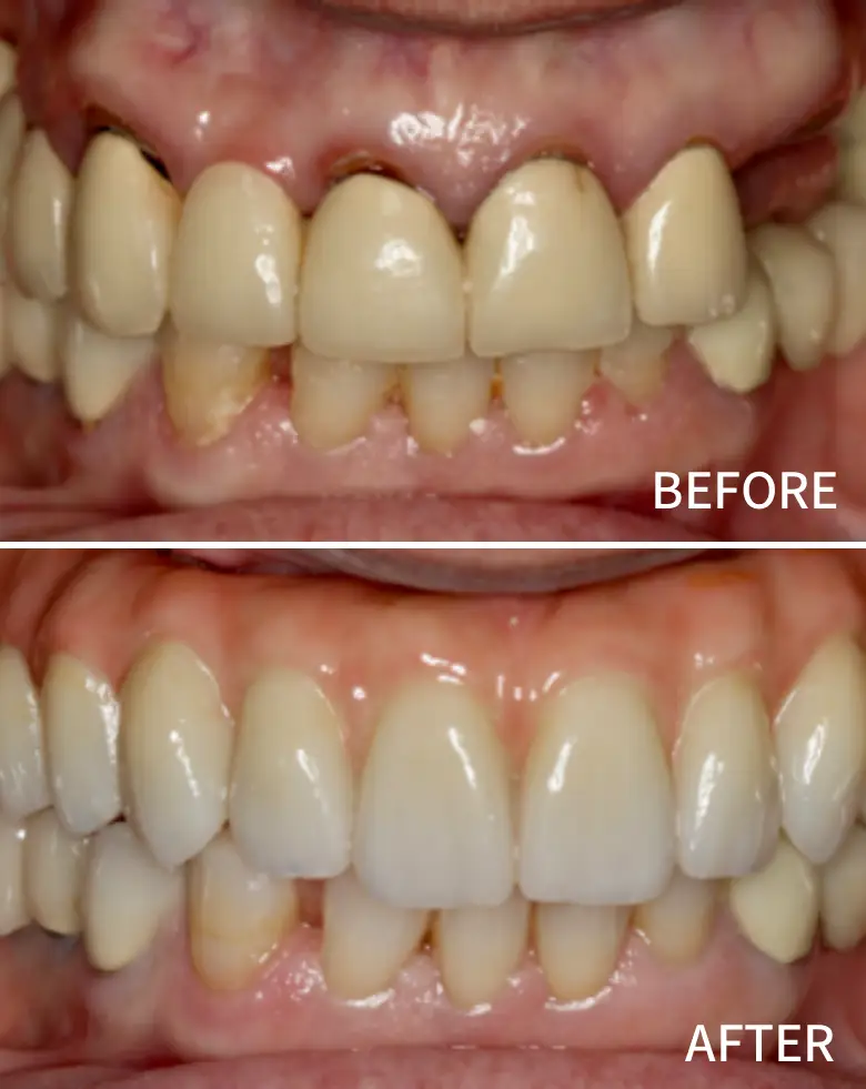
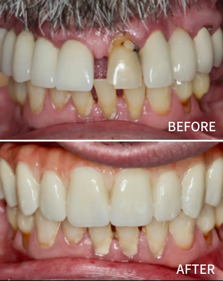
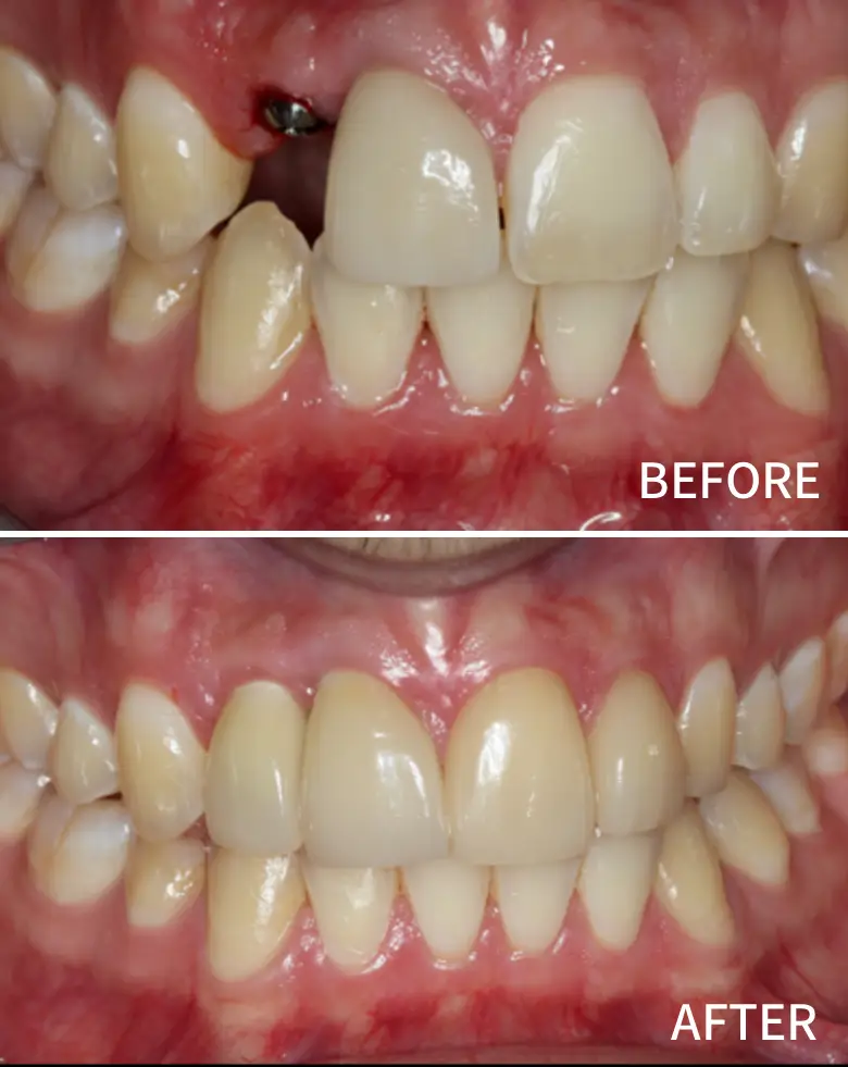
Anterior tooth loss

Before-and-after images showcasing smile transformation, highlighting anterior tooth loss and successful restoration for enhanced aesthetics.
Before-and-after images of a dental transformation showcasing significant improvement in anterior tooth aesthetics, addressing diastema and anterior tooth loss, highlighting effective restorative dentistry by NuSmile Implant Studio.
Before and after images of a smile transformation showcasing diastema correction and improved anterior tooth aesthetics at NuSmile Implant Studio.
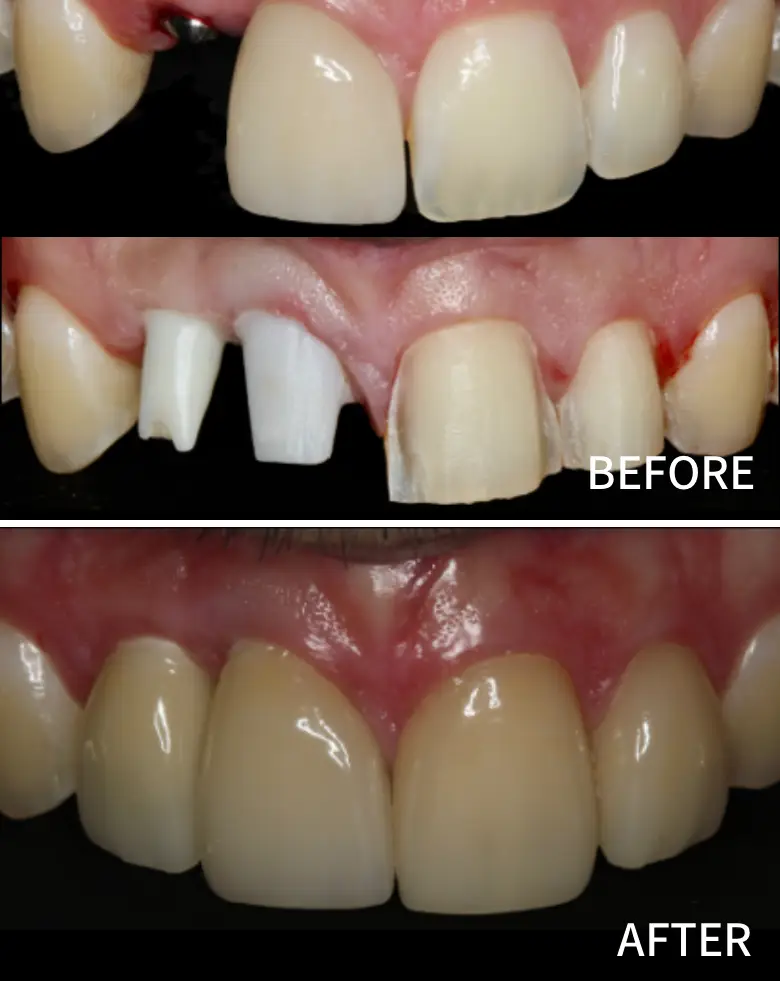
Before-and-after image of a dental transformation showcasing anterior tooth restoration, highlighting improved smile aesthetics and closure of diastema.
Before-and-after image showcasing dental transformation, highlighting diastema closure and anterior tooth restoration, related to smile makeovers at NuSmile Implant Studio.
Before-and-after image showcasing dental transformation, highlighting anterior tooth restoration, addressing diastema, and improving smile aesthetics.
Before-and-after image showcasing dental transformation, highlighting anterior tooth restoration and correction of diastema at NuSmile Implant Studio.
Before-and-after dental transformation showcasing anterior tooth restoration, highlighting diastema correction and improved smile aesthetics.
Before-and-after images of anterior tooth restoration, showcasing diastema closure and cosmetic enhancement of smile at NuSmile Implant Studio.
Before-and-after image showcasing dental transformation, highlighting anterior tooth loss and diastema correction, demonstrating successful full mouth rehabilitation.
Before-and-after images of a smile transformation, showcasing improved anterior teeth alignment and aesthetic restoration, highlighting successful cosmetic dentistry at NuSmile Implant Studio.
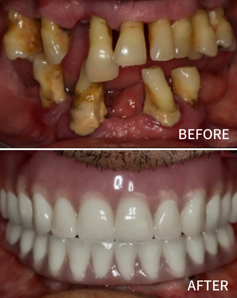
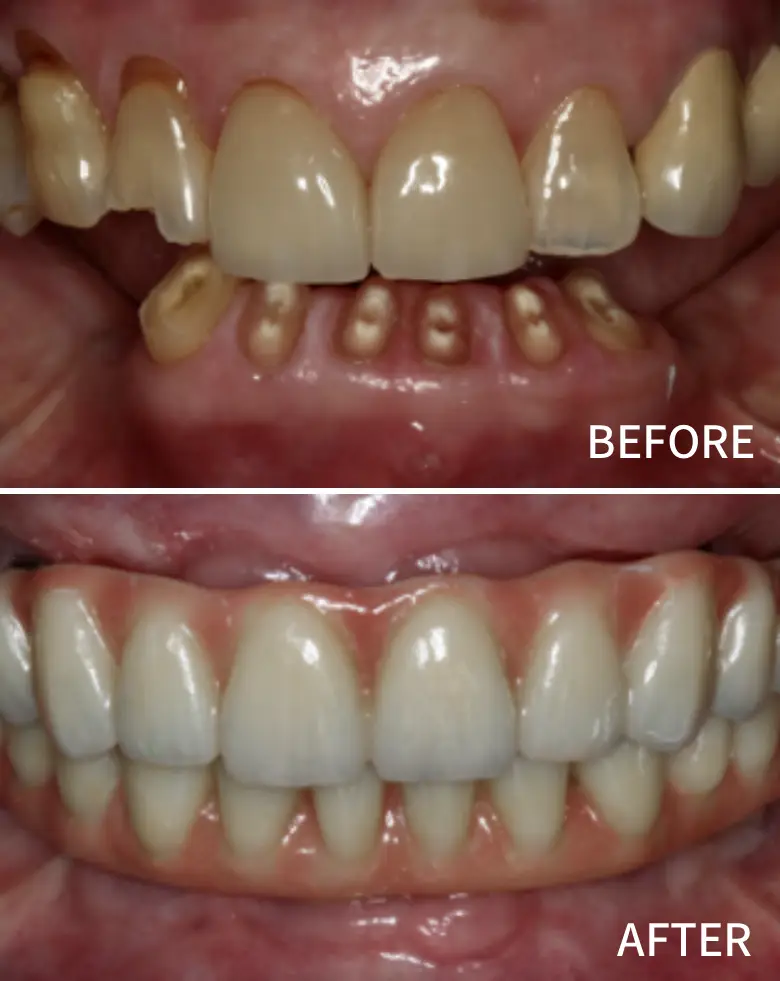
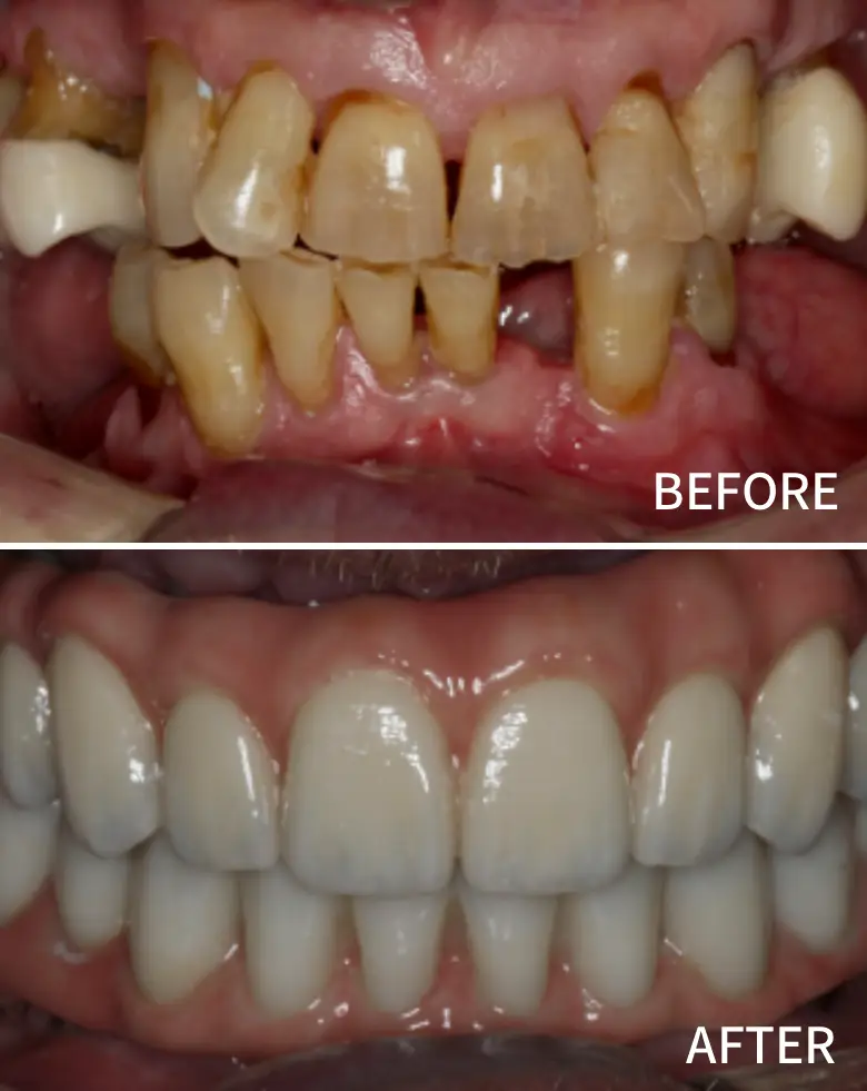
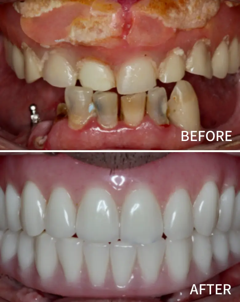
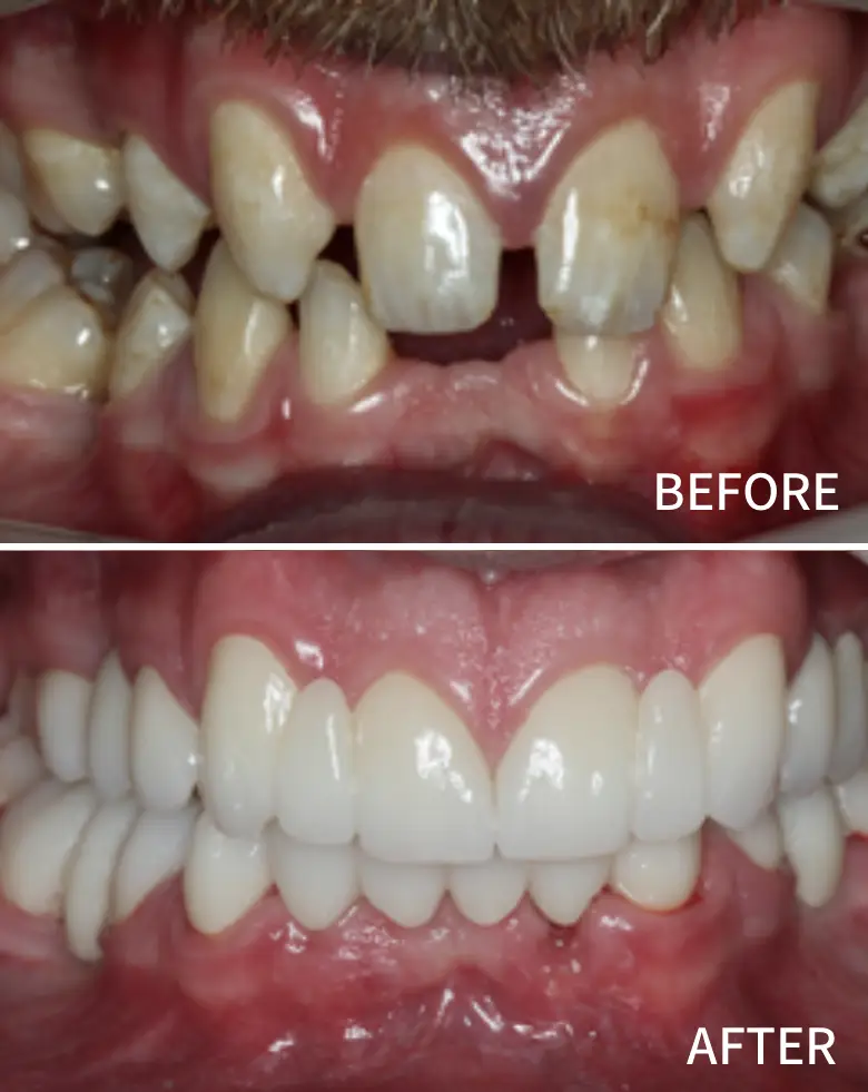
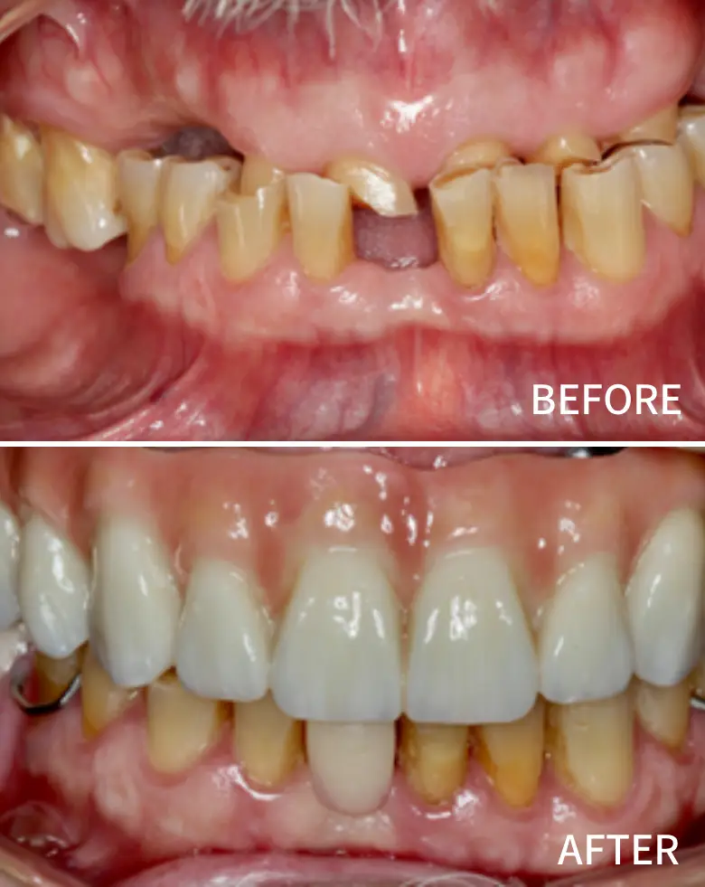
Before-and-after dental transformation showcasing anterior tooth restoration, addressing diastema and multiple failing restorations, highlighting improved smile aesthetics.

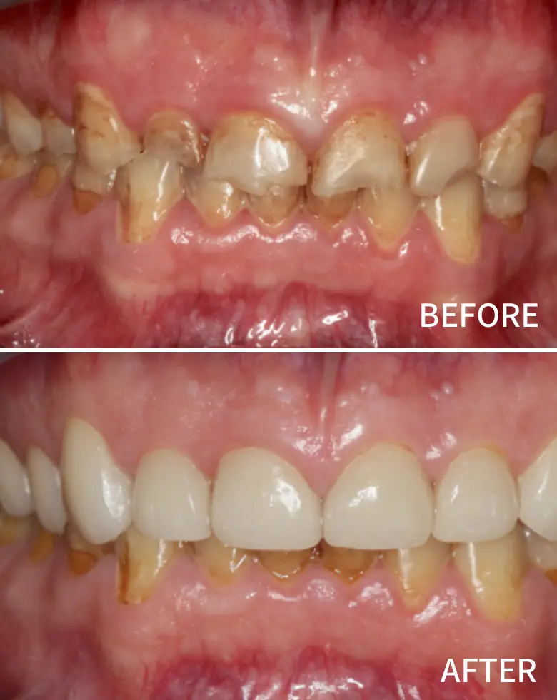
Multiple failing restorations

Before-and-after image showcasing a smile transformation, highlighting improvements in anterior tooth alignment and restoration, addressing diastema and generalized tooth wear.
Before-and-after dental transformation showcasing improved smile aesthetics, addressing anterior tooth loss and diastema, highlighting successful cosmetic restoration by NuSmile Implant Studio.
Before-and-after image of a smile transformation showcasing improved dental aesthetics, highlighting restoration of anterior teeth and correction of diastema.
Before-and-after dental transformation showcasing improved smile aesthetics, highlighting treatment for diastema and anterior tooth loss.
Before-and-after dental transformation showcasing improved anterior teeth alignment, restoration of tooth aesthetics, and correction of diastema at NuSmile Implant Studio.
Before-and-after comparison of dental restoration showcasing improved anterior teeth aesthetics, addressing diastema and tooth wear, highlighting successful smile transformation at NuSmile Implant Studio.
Before-and-after images of a smile transformation showcasing improved anterior teeth alignment and restoration, highlighting changes from diastema and generalized tooth wear.
Before-and-after dental transformation showcasing successful treatment of anterior tooth loss and diastema, highlighting improved smile aesthetics and alignment.
Before-and-after dental transformation showcasing improved smile aesthetics, highlighting resolution of diastema and anterior tooth loss with enhanced tooth alignment and color.
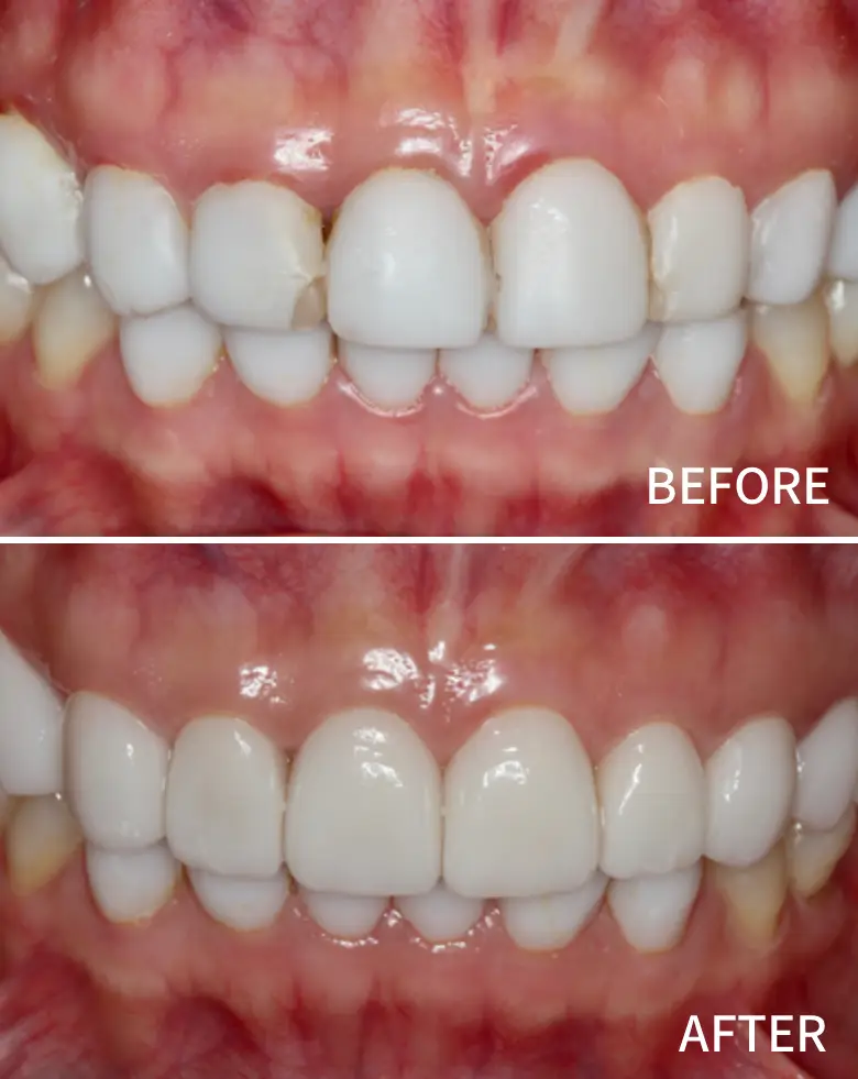
Before-and-after comparison of anterior teeth showcasing successful restoration, highlighting treatment of diastema and improved dental aesthetics.

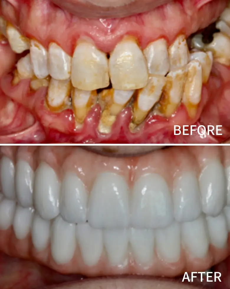
Generalized tooth wear

Before-and-after image showcasing a dental transformation, highlighting significant improvements in tooth color and alignment, addressing issues of tooth wear and anterior tooth loss.
Before-and-after images of dental restoration showing significant improvement in tooth appearance, addressing issues of generalized tooth wear and anterior tooth loss.
Before-and-after images showcasing dental transformation, highlighting smile improvement, tooth restoration, and enhanced aesthetics.
Before-and-after image showcasing significant dental restoration, highlighting multiple failing restorations, generalized tooth wear, and improved aesthetics in smile transformation.

Malocclusion

Before-and-after images of a dental transformation showcasing improved smile aesthetics, addressing malocclusion, anterior tooth loss, and overall smile rehabilitation.
Before-and-after images of dental rehabilitation showcasing improved alignment, enhanced aesthetics, and restoration of anterior teeth following treatment for malocclusion and generalized tooth wear.
Before-and-after image showcasing a smile transformation, highlighting malocclusion correction, improved tooth alignment, and enhanced aesthetics of the teeth.
Before-and-after image of a dental transformation showcasing improved alignment and aesthetics of anterior teeth, addressing malocclusion and tooth wear.

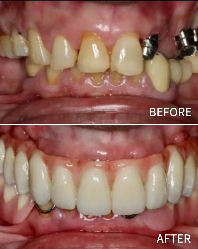
Full Mouth Rehabilitation

Before-and-after image of a full mouth rehabilitation, showcasing significant dental transformation, including correction of diastema, anterior tooth loss, and restoration of smile aesthetics.
Before-and-after image of a male patient showcasing full mouth rehabilitation, highlighting significant improvements in tooth alignment, color, and overall smile aesthetics, addressing issues like anterior tooth loss and malocclusion.
Before-and-after image of a man's smile transformation, showcasing dental restoration results, improved tooth alignment, and enhanced aesthetics, relevant to full mouth rehabilitation and smile makeover services at NuSmile Implant Studio.
Before-and-after image of a full mouth rehabilitation showcasing significant dental transformation, highlighting improved aesthetics and alignment of anterior teeth, addressing issues of diastema and tooth wear.
Before-and-after image of a full mouth rehabilitation showcasing significant transformation in dental aesthetics, featuring improved tooth alignment, color, and restoration of anterior teeth.
Before-and-after image of full mouth rehabilitation showing significant dental transformation, addressing issues like diastema, anterior tooth loss, and generalized tooth wear.
Before-and-after image of full mouth rehabilitation, showcasing significant dental transformation from multiple failing restorations and tooth wear to a restored, healthy smile with aligned teeth.
Before-and-after image of a full mouth rehabilitation showcasing significant dental transformation, highlighting improvements from anterior tooth loss, generalized tooth wear, and malocclusion to a restored, bright smile.
Before-and-after image showcasing full mouth rehabilitation, highlighting significant transformation in tooth alignment and color, addressing diastema and anterior tooth loss.
Before-and-after image showcasing a smile transformation, highlighting improvements in tooth alignment, restoration of anterior teeth, and overall cosmetic enhancement related to full mouth rehabilitation.
Before-and-after image of a full mouth rehabilitation, showcasing significant improvement in dental aesthetics, highlighting tooth restoration and enhanced smile appearance.
Before-and-after image of a smile transformation, showcasing full mouth rehabilitation, addressing anterior tooth loss, diastema, and cosmetic enhancements at NuSmile Implant Studio.
Before-and-after image of a smile transformation showcasing significant improvement in dental aesthetics, addressing issues like diastema, tooth discoloration, and alignment for full mouth rehabilitation.
Before-and-after image of a smile transformation showcasing full mouth rehabilitation, highlighting improved tooth alignment and aesthetics, addressing issues like diastema and anterior tooth loss.
Before and after image of a full mouth rehabilitation showcasing improved smile aesthetics, highlighting resolution of diastema and anterior tooth loss with restored tooth alignment and color.
Before-and-after image showcasing a full mouth rehabilitation, highlighting transformation from anterior tooth loss and generalized tooth wear to a restored, bright smile.
Before-and-after image of full mouth rehabilitation showcasing significant dental transformation, highlighting anterior tooth loss, diastema correction, and improved tooth aesthetics.
Before-and-after image of full mouth rehabilitation showcasing significant improvement in tooth alignment, restoration of anterior teeth, and resolution of malocclusion issues.
Before-and-after image of a full mouth rehabilitation showcasing significant dental transformation, addressing anterior tooth loss, diastema, and overall cosmetic enhancement.
Before-and-after dental transformation showcasing full mouth rehabilitation, highlighting improved tooth alignment and aesthetics, addressing issues like diastema and anterior tooth loss.
Before-and-after image of a full mouth rehabilitation showcasing significant dental transformation, addressing issues like diastema, anterior tooth loss, and generalized tooth wear.
Before-and-after image of a full mouth rehabilitation, showcasing significant dental transformation with improved tooth alignment, restoration of anterior teeth, and correction of malocclusion.
Before-and-after image of a full mouth rehabilitation showcasing significant improvement in tooth appearance, addressing anterior tooth loss, diastema, and generalized tooth wear.
Before-and-after image of full mouth rehabilitation showcasing dental transformation, highlighting anterior tooth loss, diastema correction, and improved aesthetics at NuSmile Implant Studio.
Before-and-after image of a smile transformation showcasing full mouth rehabilitation, highlighting improvements in tooth alignment, color, and overall aesthetics, addressing anterior tooth loss and malocclusion.
Before-and-after image of a man's smile transformation, showcasing significant improvement in tooth alignment, color, and overall aesthetics, addressing issues like diastema and anterior tooth loss.
Before-and-after images of full mouth rehabilitation showcasing significant dental transformation, highlighting anterior tooth restoration and improved smile aesthetics.
Before-and-after image of a smile transformation, showcasing significant improvement in dental aesthetics, addressing issues like anterior tooth loss, discoloration, and malocclusion, relevant to full mouth rehabilitation at NuSmile Implant Studio.
Before-and-after image of a full mouth rehabilitation showcasing significant dental transformation, addressing anterior tooth loss and malocclusion, highlighting improved smile aesthetics.
Before-and-after image of full mouth rehabilitation showcasing significant dental transformation, addressing anterior tooth loss, diastema, and generalized tooth wear, with improved aesthetics and alignment.
Before-and-after image of full mouth rehabilitation showcasing significant dental transformation, addressing anterior tooth loss, diastema, and multiple failing restorations, highlighting improved aesthetics and functionality.
Before-and-after image of full mouth rehabilitation, showcasing significant dental transformation from decayed and missing teeth to a complete set of bright, healthy teeth.
Before-and-after dental transformation showcasing significant improvement in smile aesthetics, addressing issues like diastema, anterior tooth loss, and generalized tooth wear through full mouth rehabilitation at NuSmile Implant Studio.
Before-and-after image of a full mouth rehabilitation, showcasing significant dental transformation, including correction of anterior tooth loss, improved alignment, and enhanced smile aesthetics.
Before-and-after comparison of a man's smile transformation, showcasing significant improvement in tooth alignment and color, addressing issues like anterior tooth loss and malocclusion, relevant to full mouth rehabilitation.
Before-and-after image showcasing full mouth rehabilitation, highlighting improvements in smile aesthetics, tooth alignment, and restoration of anterior teeth.
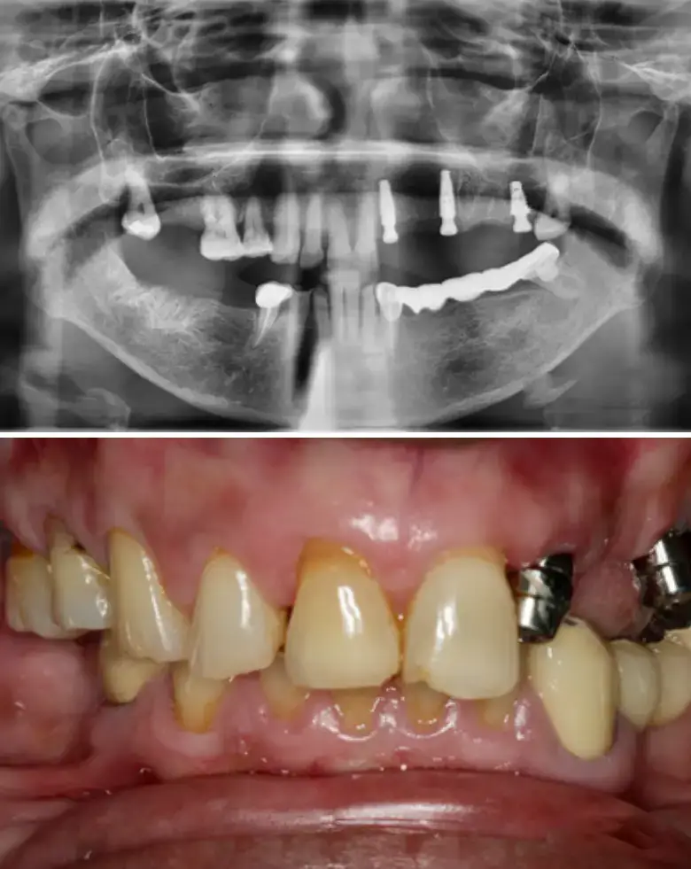
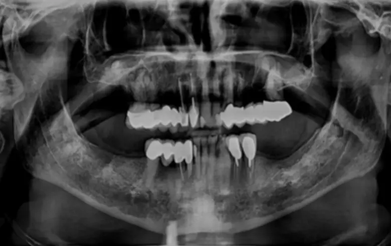
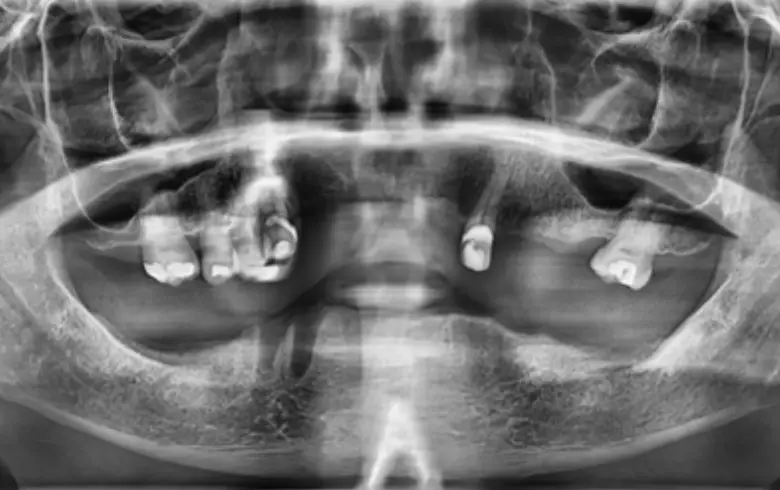
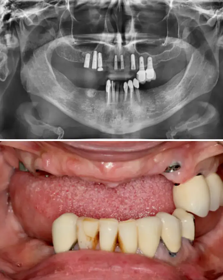
X-ray and clinical image showing full mouth rehabilitation, highlighting anterior tooth loss, multiple failing restorations, and improved dental aesthetics.
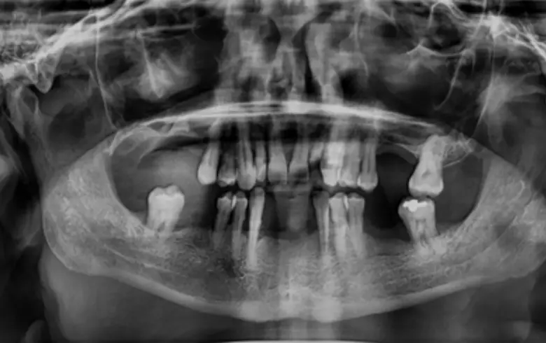
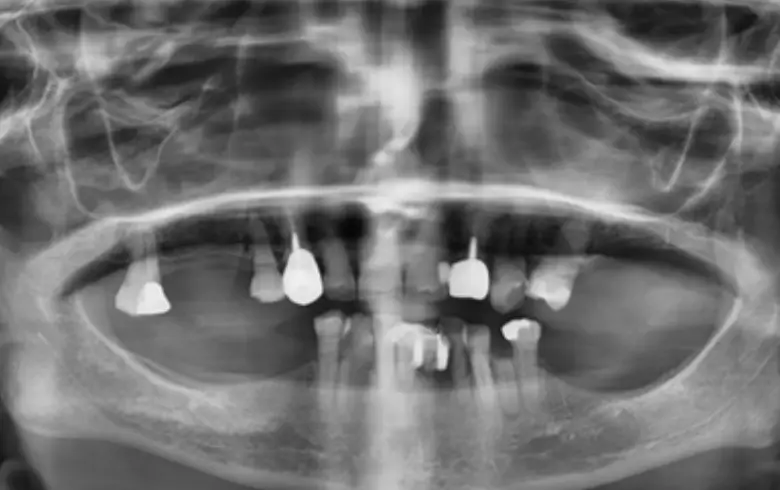
X-ray image showing full mouth dental structure with multiple implants, indicating cases of anterior tooth loss and potential rehabilitation.
Full mouth X-ray showing multiple dental issues including diastema, anterior tooth loss, and failing restorations, relevant to full mouth rehabilitation at NuSmile Implant Studio.
X-ray image showing dental implants and close-up of anterior teeth with decay and restorations, illustrating full mouth rehabilitation for smile transformation.
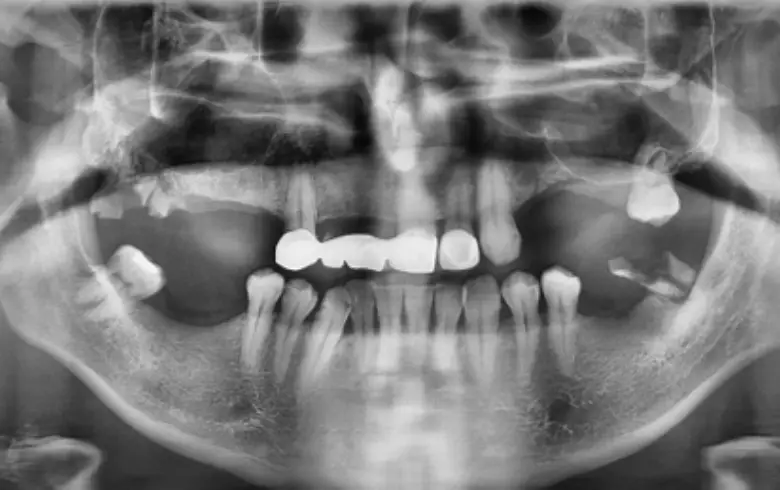
Full mouth X-ray showing multiple failing restorations, anterior tooth loss, and generalized tooth wear, relevant to full mouth rehabilitation and cosmetic dentistry.
X-ray image of a dental full mouth rehabilitation case showing multiple failing restorations, anterior tooth loss, and generalized tooth wear.
X-ray image showing dental implants and full mouth rehabilitation, highlighting anterior tooth loss and multiple failing restorations.
X-ray image showing multiple failing restorations, anterior tooth loss, and generalized tooth wear, relevant to full mouth rehabilitation.
X-ray image of a full mouth showing dental structures, highlighting issues like diastema, anterior tooth loss, and generalized tooth wear relevant to full mouth rehabilitation.
Full mouth rehabilitation before and after images showing dental implants and restored teeth, addressing diastema, anterior tooth loss, and multiple failing restorations.
X-ray image showing full mouth rehabilitation with dental implants, highlighting anterior tooth loss and multiple failing restorations.
X-ray image of full mouth showing multiple failing restorations, anterior tooth loss, and areas of generalized tooth wear, relevant to full mouth rehabilitation at NuSmile Implant Studio.
X-ray image showing dental implants and oral cavity with restored teeth, illustrating full mouth rehabilitation for anterior tooth loss and malocclusion.
X-ray image showing full mouth dental condition, highlighting diastema, anterior tooth loss, and multiple failing restorations, relevant to full mouth rehabilitation.