Tue & Thu: 9 AM – 5 PM
Alternate Saturdays: 8 AM – 1 PM
Full-time hours coming soon.
Tue & Thu: 9 AM – 5 PM
Alternate Saturdays: 8 AM – 1 PM
Full-time hours coming soon.
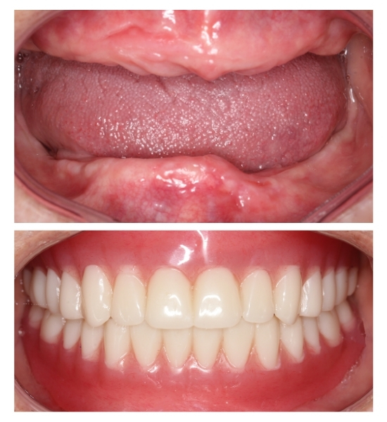
Full dentures are designed to replace an entire arch of missing teeth, restoring both appearance and everyday function. These restorations help support facial structure while improving the ability to speak and chew.
At NuSmile Implant Studio in Chicago, full dentures are carefully crafted to match each patient’s facial features and bite relationship. Prosthodontist Dr. Faisel Ashtewi uses detailed diagnostics and digital planning to ensure dentures provide balanced function and a natural-looking smile.
For many patients, dentures can also be combined with dental implants to improve stability and comfort. Implant-supported dentures are often recommended for patients seeking a more secure and long-lasting solution.
At NuSmile Implant Studio, we are dedicated to transforming smiles and enhancing quality of life through advanced dental solutions. Our expert team, led by Dr. Faisel Ashtewi, specializes in full dentures and implant-supported options, ensuring that every patient receives personalized care tailored to their unique needs.
Located in Beverly, Chicago, our practice combines cutting-edge technology with a patient-centered approach. We strive to create a welcoming environment where patients feel comfortable and informed throughout their dental journey, from initial consultation to final treatment.
Full dentures are removable appliances designed to replace an entire arch of missing teeth, significantly improving both aesthetics and functionality. They are crafted to fit comfortably in the mouth, allowing users to eat, speak, and smile confidently once again.
These dentures are typically made from high-quality materials that mimic the look of natural teeth and gums. At NuSmile Implant Studio, we focus on creating custom dentures that not only restore your smile but also enhance your facial structure, giving you a more youthful appearance.
Implant-supported dentures offer enhanced stability and comfort compared to traditional full dentures. By anchoring the dentures to dental implants, patients can enjoy improved chewing efficiency and a secure fit, reducing the likelihood of slippage.
This innovative solution also helps preserve jawbone health, preventing the bone loss that often accompanies tooth loss. Our team at NuSmile Implant Studio is skilled in providing this advanced treatment, ensuring that our patients experience the full benefits of implant-supported dentures.
Starting your journey towards a new smile with full dentures is simple at NuSmile Implant Studio. We invite you to schedule a consultation where our team will assess your dental needs and discuss the various options available to you.